
Giá vàng trong nước và thế giới
VnEconomy cập nhật giá vàng trong nước & thế giới hôm nay: SJC, 9999, giá vàng USD/oz, biến động giá vàng tăng, giảm - phân tích, dự báo & dữ liệu lịch sử.
Chủ Nhật, 07/12/2025
Hoài Phương
20/06/2025, 10:57
Khác với tràn khí màng phổi thứ phát thường gặp ở người có bệnh lý nền về phổi, tràn khí màng phổi tự phát xảy ra ở người trẻ, khỏe mạnh. Một số trường hợp không có dấu hiệu điển hình, người bệnh chủ quan, dễ bỏ qua triệu chứng ban đầu…
Ngày 19/6, Bệnh viện Đa khoa Medlatec cho biết đã tiếp nhận một bệnh nhân nam, 25 tuổi (Cầu Giấy, Hà Nội) có iền sử khỏe mạnh, không bị bệnh phổi. Sau khi đẩy tạ, anh bắt đầu có triệu chứng đau ngực phải, tăng dần khi ho, hít sâu hoặc vận động mạnh.
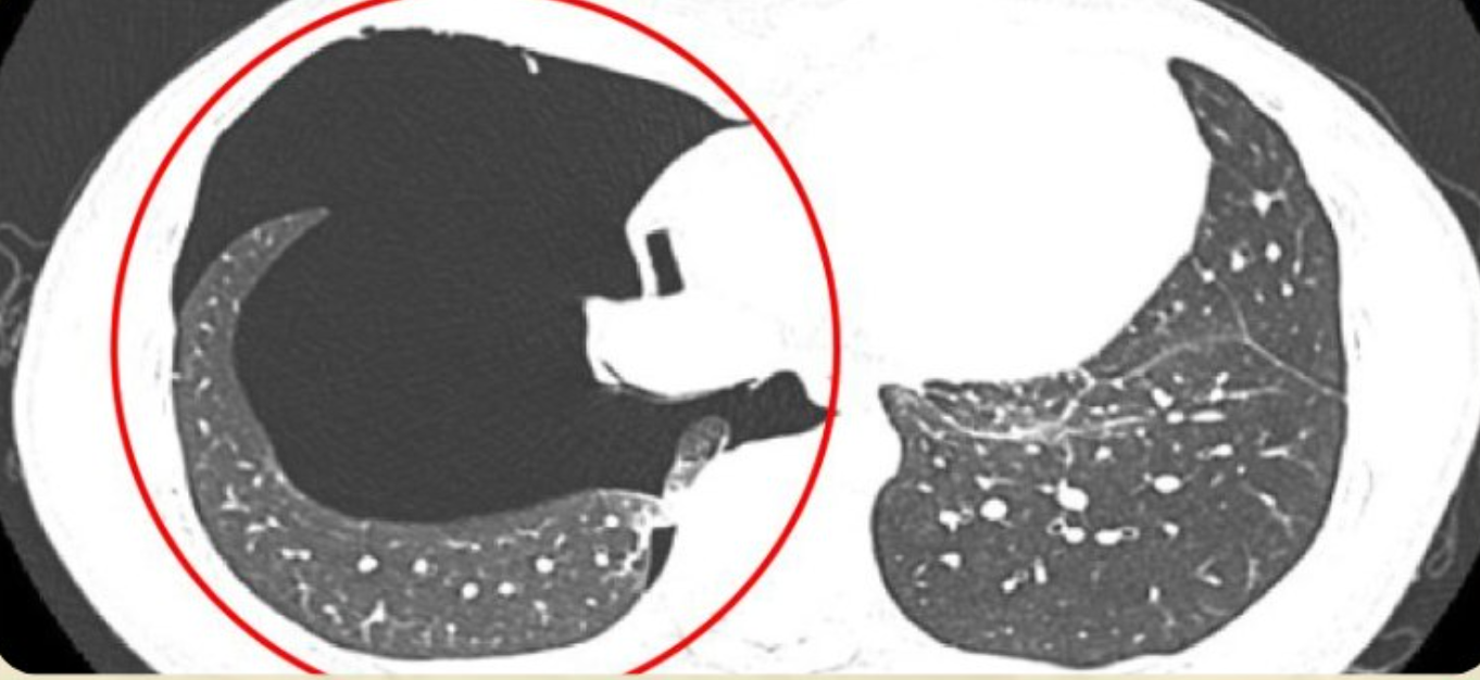
Kết quả chụp X-quang và CT ngực ghi nhận hình ảnh tràn khí khoang màng phổi phải kèm theo tổn thương nhu mô phổi (đám đông đặc ở thùy trên và phân thùy S5 phổi phải). Bác sĩ nhận định tình trạng này do chấn thương phổi trong lúc gắng sức.
Bác sĩ Phạm Duy Hưng, Phó Khoa Nội, cho biết hoạt động thể lực cường độ cao như tập gym, đẩy tạ có thể làm tăng áp lực trong lồng ngực, khiến bóng khí dưới màng phổi bị vỡ. Đây là nguyên nhân gây tràn khí màng phổi, dù bệnh nhân không có bệnh lý nền liên quan đến phổi.
Hồi tháng 4 năm nay, khi đang chơi thể thao, anh N.D.T 36 tuổi (Long Biên, Hà Nội) bỗng có triệu chứng đau ngực, khó thở, phải đến khám tại Bệnh viện Đa khoa Đức Giang. Tại đây, hình ảnh phim X-quang phổi của bệnh nhân cho thấy có dịch, có khí. Các bác sĩ chẩn đoán anh bị tràn khí màng phổi tự phát. Ngay lập tức, bệnh nhân được chỉ định dẫn lưu màng phổi cấp cứu, mổ khâu kén khí, cầm máu, làm sạch khoang màng phổi.
Bác sĩ Phan Văn Thành, khoa Ngoại tổng hợp Bệnh viện Đa khoa Đức Giang, cho biết tràn khí màng phổi tự phát nguyên phát thường gặp ở nam giới, trẻ tuổi (tỷ lệ là 3 nam/1 nữ). “Bệnh thường gặp ở người cao, gầy vì cơ địa này áp lực đỉnh phổi thấp hơn, dễ gây vỡ các bóng khí. Khoảng 30% trường hợp tràn khí màng phổi tự phát nguyên phát bị tái phát sau điều trị dẫn lưu màng phổi đơn thuần”, BS Thành nói.
Cũng trong tháng 4, bệnh nhân V.T.T. (nam, 41 tuổi), làm việc tại Quảng Ninh, có tiền sử hút thuốc nhiều năm, bất ngờ bị đau ngực trái dữ dội và khó thở sau một cơn ho mạnh. Kết quả chụp cắt lớp vi tính lồng ngực cho thấy bệnh nhân bị tràn dịch, tràn khí màng phổi trái và mất máu cấp.
Sau khi hội chẩn, các chuyên gia thống nhất chỉ định phẫu thuật nội soi lồng ngực để xử lý tổn thương. Phẫu thuật viên phát hiện khoảng 800g máu cục cùng một kén khí ở đỉnh phổi đã vỡ, gây tràn khí và máu từ dây chằng đỉnh phổi do đứt dây chằng.
BSCKII. Phạm Việt Hùng, Trưởng Khoa Ngoại cho biết: "Tràn máu - tràn khí màng phổi tự phát do vỡ kén khí và đứt dây chằng đỉnh phổi là thể bệnh hiếm gặp, diễn biến nhanh, dễ gây chèn ép tim phổi và sốc mất máu. Nếu không can thiệp kịp thời, tính mạng bệnh nhân có thể bị đe dọa".
Trước đó, tại Trung Quốc cũng từng ghi nhận trường hợp một người đàn ông đã phải dừng các bài tập chống đẩy và nhảy dây, khi bị chẩn đoán gắng sức khiến thủng phổi, dẫn đến tình trạng phổi bị xẹp. Thậm chí, truyền thông Trung Quốc từng đưa tin một nam thanh niên 19 tuổi tại Thâm Quyến được chẩn đoán bị tràn khí màng phổi do la hét quá mức khi đi xem concert...
Những trường hợp trên đã trở thành một bài học cảnh tỉnh cho mọi người, cho thấy tầm quan trọng của việc lắng nghe cơ thể và tránh tình trạng gắng sức quá mức trong quá trình tập luyện hay vui chơi. Dù thực tế, nguyên nhân gây ra tình trạng tràn khí màng phổi tự phát rất đa dạng và phong phú, khó chẩn đoán và dễ bị bỏ qua trong quá trình điều trị.
Các bệnh hay gặp gây ra tình trạng tràn khí màng phổi tự phát là kén khí phổi, nhiễm khuẩn phổi- màng phổi như áp xe phổi, viêm phổi do phế cầu khuẩn, tụ cầu vàng, hen phế quản, ho gà, giãn phế quản, bệnh bụi phổi, ung thư phổi, tràn khí màng phổi sau thông khí phổi nhân tạo (thở máy)… Trong đó vỡ kén khí là nguyên nhân thường gặp nhất.
Theo bác sĩ Hưng, sự hiện diện bất thường của khí tại màng phồi khiến phổi không thể nở rộng như bình thường, gây đau tức ngực, khó thở, nhịp tim tăng nhanh. Các bóng khí này có thể hình thành tự nhiên và tồn tại âm thầm trong phổi mà không gây ra bất kỳ biểu hiện nào cho đến khi bị vỡ do một tác động nhất định.
"Các hoạt động gắng sức, hoặc thay đổi áp lực đột ngột trong lồng ngực được xem là yếu tố nguy cơ điển hình. Tập luyện thể thao cường độ cao, nâng tạ nặng, leo núi, lặn sâu, chơi nhạc cụ hơi, thậm chí là ho mạnh, hắt hơi liên tục - đều có thể kích hoạt bóng khí vỡ và dẫn đến tràn khí màng phổi.
Ngoài ra, có những người nhiều nguy cơ bị tràn khí màng phổi hơn: Người hút thuốc lá nhiều hoặc lâu năm; Người thường xuyên tham gia các môn thể thao đối kháng (bóng bầu dục, bóng đá hoặc đấm bốc); Người từng bị chấn thương ngực (bị đánh mạnh, gãy xương hay trải qua một số ca phẫu thuật ở ngực)...
Bác sĩ khuyến cáo người bệnh cần nhận diện sớm triệu chứng như đau ngực đột ngột, khó thở khi gắng sức, sau đó nhanh chóng đến cơ sở y tế để được chẩn đoán, can thiệp kịp thời. Trong quá trình điều trị, chụp cắt lớp vi tính (CT scan) lồng ngực đóng vai trò quan trọng giúp chẩn đoán chính xác và đánh giá mức độ tổn thương trong các trường hợp tràn khí màng phổi.
So với phương pháp chụp X-quang ngực thông thường, với khả năng dựng hình cắt lớp theo nhiều mặt phẳng, CT scan có độ nhạy cao hơn, giúp phát hiện những lượng khí nhỏ không rõ trên phim X-quang, đồng thời cung cấp hình ảnh chi tiết về nhu mô phổi và khoang màng phổi.
Từ đó, bác sĩ có thể xác định chính xác vị trí và mức độ tràn khí, phát hiện các nguyên nhân tiềm ẩn như bóng khí, kén khí dưới màng phổi. Ngoài ra, kỹ thuật này còn giúp đánh giá các tổn thương phối hợp như dập phổi, tụ khí dưới da, tràn khí trung thất… hỗ trợ lựa chọn phương án điều trị phù hợp, từ theo dõi bảo tồn đến can thiệp dẫn lưu, hoặc phẫu thuật.
Theo các bác sỹ, khó khăn lớn nhất khi điều trị tràn khí màng phổi tự phát là bệnh hay tái phát. Nếu lần dẫn lưu đầu thành công, tỷ lệ tái phát tràn khí màng phổi rất cao (do còn nhiều bóng kén khí khác chưa vỡ). Tùy vào tình trạng rò khí, lần đầu hay tái phát, nhóm nguyên nhân (tự phát hay thứ phát), bác sĩ sẽ đưa ra phác đồ điều trị thích hợp.
Các bác sĩ cũng khuyến cáo, trước khi tập luyện thể dục thể thao, nếu không đảm bảo an toàn tập luyện, không kiểm tra, sàng lọc, điều trị triệt để những chấn thương, bệnh lý tiềm ẩn trước đó thì có thể gây chấn thương, gây ra các bệnh lý cấp tính về tim mạch, hô hấp. Thậm chí gây nhồi máu cơ tim, ngừng tim, tăng huyết áp, xuất huyết não...
Tầng lớp trung lưu tăng nhanh, nhu cầu cá nhân hóa và tiêu dùng dựa trên trải nghiệm đang giúp thành phố lớn như TP. Hồ Chí Minh phát triển mạnh mô hình "kinh tế lifestyle", từ văn hóa, ẩm thực, thời trang đến các sản phẩm mang dấu ấn phong cách sống…
Những năm gần đây, dịp Giáng sinh và Tết Dương lịch trở thành cơ hội để du khách thư giãn, gắn kết với gia đình và bạn bè, đồng thời tận hưởng không khí lễ hội tràn ngập ánh sáng, âm nhạc, hương thơm và ẩm thực độc đáo…
Khi ngành công nghiệp văn hóa xoay chuyển liên tục giữa thời đại số, việc chọn ra một gam màu đại diện cho xu hướng luôn là thách thức. Thế nhưng tháng 12 hàng năm, Pantone luôn làm điều này. Năm 2026, Viện màu sắc này đã chọn "Cloud Dancer” trở thành màu của năm...
Ngày của Phở 2025 sẽ diễn ra trong 02 ngày 13 - 14/12 tại TP. HCM. Với hơn 20.000 tô phở được phục vụ và dự kiến thu hút khoảng 100.000 lượt khách tham quan, sự kiện là cơ hội để quảng bá văn hóa ẩm thực Việt Nam ra thế giới…
Trong khoảng một tháng qua, thị trường rau xanh tại nhiều thành phố ghi nhận biến động mạnh. Tình trạng này đã thúc đẩy một bộ phận người tiêu dùng chuyển sang các hệ thống siêu thị để tìm kiếm nguồn cung bình ổn về cả chất lượng và giá cả…
Thuế đối ứng của Mỹ có ảnh hướng thế nào đến chứng khoán?
Chính sách thuế quan mới của Mỹ, đặc biệt với mức thuế đối ứng 20% áp dụng từ ngày 7/8/2025 (giảm từ 46% sau đàm phán), có tác động đáng kể đến kinh tế Việt Nam do sự phụ thuộc lớn vào xuất khẩu sang Mỹ (chiếm ~30% kim ngạch xuất khẩu). Dưới đây là phân tích ngắn gọn về các ảnh hưởng chính: