
Giá vàng trong nước và thế giới
VnEconomy cập nhật giá vàng trong nước & thế giới hôm nay: SJC, 9999, giá vàng USD/oz, biến động giá vàng tăng, giảm - phân tích, dự báo & dữ liệu lịch sử.
Thứ Tư, 24/12/2025
Hoài Phương
20/04/2021, 16:46
Sản phụ nhập viện trong tình trạng sức khỏe nguy kịch, xuất huyết não dẫn đến đột quỵ, hôn mê sâu. Trước tình huống nguy cấp, nhờ sự phối hợp liên chuyên khoa chặt chẽ và nhịp nhàng, các bác sĩ đã thành công trong việc cứu sống cả sản phụ lẫn thai nhi.
Đó là trường hợp sản phụ Nguyễn Ngọc H. (30 tuổi, ngụ tại TP.HCM) được chuyển đến cấp cứu tại BV ĐHYD TP.HCM trong tình trạng hôn mê, mất ý thức. Thời điểm nhập viện, chị H. đang mang thai ở tuần thứ 34, trong lúc dùng bữa tối thì đột nhiên méo và tê mặt, nuốt sặc, yếu liệt nửa người rồi hôn mê sâu.Tại khoa Cấp cứu BV ĐHYD TP.HCM, sau khi tiến hành cấp cứu và thực hiện các xét nghiệm cần thiết, các bác sĩ đã hội chẩn và cho biết sản phụ bị xuất huyết giai đoạn cấp ở mặt sau bán phần trái cuống não, dẫn đến đột quỵ.Theo ThS BS. Đặng Lê Phương – Khoa Ngoại Thần kinh BV ĐHYD TP.HCM, đây là tình trạng dị dạng mạch máu dạng hang rất hiếm gặp, phần thân não của sản phụ bị tổn hại, xuất huyết nặng dẫn đến hôn mê, ảnh hưởng lớn đến hệ hô hấp và tuần hoàn. Trường hợp này vô cùng nguy hiểm, có nguy cơ tử vong cao nếu không được cấp cứu và điều trị kịp thời. Bên cạnh đó, vì đường dẫn truyền cảm giác và vận động đi ngang vùng thân não này, việc phẫu thuật cho người bệnh đòi hỏi kỹ thuật và sự cẩn trọng cao vì có nguy cơ bị liệt hoặc mất cảm giác sau mổ. Quá trình thực hiện cấp cứu và điều trị cho sản phụ vô cùng căng thẳng và gấp rút. Tại phòng Cấp cứu, sản phụ được đặt nội khí quản, tiến hành thở máy và chụp CT não bộ. Sau khi hội chẩn liên chuyên khoa xác định tình trạng sản phụ có thể diễn tiến nặng bất cứ lúc nào, các bác sĩ quyết định mổ lấy thai để cứu con trước.
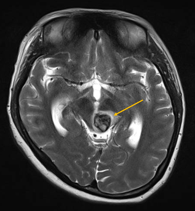
Kết quả chụp MRI cho thấy khối dị dạng mạch máu dạng hang rất hiếm gặp ở người bệnh.
"Ngay lập tức, ê-kíp Sản khoa, Gây mê hồi sức và Sơ sinh đã nhanh chóng chuẩn bị và thực hiện mổ bắt con cho sản phụ. Ê-kíp Ngoại Thần kinh được chuẩn bị sẵn sàng ngay bên cạnh phòng mổ để có thể kịp thời can thiệp trong trường hợp tình trạng sản phụ chuyển biến xấu. Khi bé cất tiếng khóc chào đời, chúng tôi đã thở phào nhẹ nhõm. Bé nặng 2,2 kg, do sinh non tháng, phổi chưa trưởng thành nên được ê-kíp Sơ sinh hồi sức, sau đó chuyển đến chăm sóc tại khoa Sơ sinh. Cuộc mổ sinh diễn ra thành công sau 30 phút, sản phụ không bị mất máu nhiều." - ThS BS. Phạm Thị Loan – Khoa Phụ sản BV ĐHYD TP.HCM – người trực tiếp mổ bắt con cho sản phụ cho biết.Ngay sau cuộc mổ bắt con, sản phụ được chuyển đến Đơn vị Hồi sức Ngoại thần kinh để ổn định huyết áp, thở máy và theo dõi diễn tiến sức khỏe, chuẩn bị phẫu thuật lấy dị dạng mạch máu. Tại đây, người bệnh được siêu âm kiểm tra ứ dịch lòng tử cung. Sau 6 ngày, người bệnh có thể tự thở trong tình trạng sức khỏe ổn định, các bác sĩ tiến hành phẫu thuật. Với kỹ thuật theo dõi điện sinh lý thần kinh trong mổ, đường dẫn truyền cảm giác và vận động của người bệnh được theo dõi liên tục, cuộc phẫu thuật diễn ra thuận lợi. Sau phẫu thuật, người bệnh hồi phục tốt. Sau 7 ngày, sức khỏe của cả mẹ và bé đều ổn định, được xuất viện.TS BS. Nguyễn Minh Anh khuyến cáo, dị dạng mạch máu xuất hiện ở vị trí thân não như trường hợp sản phụ H. rất hiếm gặp. Bệnh không có nguyên nhân cụ thể, vì vậy các sản phụ nên khám sức khỏe tổng quát và khám thai định kỳ thường xuyên. Bên cạnh đó, ngay khi có các dấu hiệu như giảm tri giác, động kinh, đột ngột nhìn đôi, giảm thị lực, méo mặt, nuốt sặc, tê yếu chi hoặc đau đầu đột ngột dữ dội, không giảm hoặc tăng dần theo thời gian cần ngay lập tức đưa người bệnh đến các bệnh viện gần nhất để được cấp cứu. Đây là các triệu chứng của đột quỵ, nếu không can thiệp và xử lý kịp thời sẽ để lại hậu quả nặng nề.
Lâu nay, nhiều người vẫn hiểu sai hoặc chưa toàn diện về vai trò của dinh dưỡng đối với sức khỏe người bệnh. Tình trạng sữa giả, thực phẩm chức năng giả, thuốc giả tràn lan càng cho thấy vai trò quan trọng của dinh dưỡng tại các bệnh viện…
Trong khi Y học cổ truyền có nhiều lợi thế trong phòng bệnh, phục hồi chức năng sau đột quỵ và cải thiện di chứng thì Y học hiện đại với ưu điểm kỹ thuật tiên tiến trong chẩn đoán sớm, can thiệp cấp cứu giờ vàng và điều trị nguyên nhân…
Không chỉ hỗ trợ các bác sĩ đọc phim nhanh, chính xác hơn, AI đang tham gia sâu hơn, hỗ trợ đắc lực cho các bác sĩ trong quá trình tiên lượng bệnh, ra kế hoạch điều trị...
Xạ trị proton là kỹ thuật chiếu ngoài hiện đại với độ chính xác cao và ít gây tổn thương mô lành đang mở ra hướng điều trị mới cho bệnh nhân ung thư. Dù chi phí đầu tư lớn, Việt Nam vẫn thúc đẩy xây dựng các trung tâm xạ trị proton để đáp ứng nhu cầu điều trị tăng cao…
Bất động sản
Thuế đối ứng của Mỹ có ảnh hướng thế nào đến chứng khoán?
Chính sách thuế quan mới của Mỹ, đặc biệt với mức thuế đối ứng 20% áp dụng từ ngày 7/8/2025 (giảm từ 46% sau đàm phán), có tác động đáng kể đến kinh tế Việt Nam do sự phụ thuộc lớn vào xuất khẩu sang Mỹ (chiếm ~30% kim ngạch xuất khẩu). Dưới đây là phân tích ngắn gọn về các ảnh hưởng chính: