
Giá vàng trong nước và thế giới
VnEconomy cập nhật giá vàng trong nước & thế giới hôm nay: SJC, 9999, giá vàng USD/oz, biến động giá vàng tăng, giảm - phân tích, dự báo & dữ liệu lịch sử.
Thứ Tư, 17/12/2025
Hoài Phương
25/12/2019, 11:44
Có nhiều nguyên nhân dẫn đến tràn dịch phổi, mỗi nguyên nhân đều có cách điều trị riêng. Do đó, việc nhận biết sớm dấu hiệu là cực kỳ quan trọng.
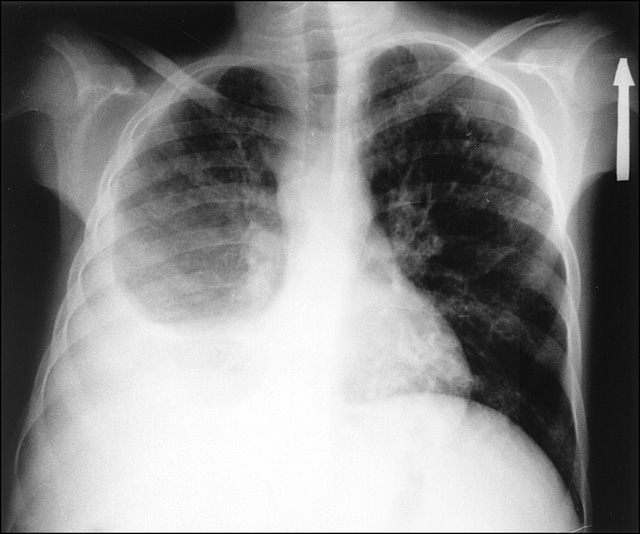
Màng phổi gồm lá thành và lá tạng, giữa hai lá có khoảng trống. Bình thường trong khoảng trống có một ít dịch sinh lý để làm bôi trơn khi phổi hoạt động làm cho lá thành và lá tạng chuyển động nhịp nhàng. Khi lượng dịch vượt quá chỉ số sinh lý bình thường tức là có sự xuất tiết xuất hiện làm ứ đọng dịch trong khoang màng phổi đến một mức độ nhất định sẽ gây tràn dịch màng phổi.Mọi lứa tuổi có thể bị tràn dịch màng phổi, nhưng với người cao tuổi thì diễn biến của bệnh nặng nề, phức tạp và hậu quả xấu hơn. Đau ngực là triệu chứng khởi đầu và điển hình của tràn dịch màng phổi. Đau âm ỉ phía bên tràn dịch, nhất là khi nằm nghiêng về phía bên đó thì sẽ đau tăng lên. Khó thở cũng là một triệu chứng hay gặp trong tràn dịch màng phổi. Đồng thời có thể có sốt, sốt thường biểu hiện của triệu chứng nhiễm trùng do vi sinh vật gây ra và là phản ứng của cơ thể.
Nếu bệnh xảy ra ở người cao tuổi, sức yếu thì thân nhiệt tăng lên không nhiều hoặc không tăng (không sốt). Ho khan cũng có thể xuất hiện khi tràn dịch màng phổi nhưng số lần nhiều hay ít cũng như sốt cao hay sốt vừa còn tùy thuộc vào căn nguyên gây bệnh (viêm phổi do vi sinh vật, lao phổi thì ho nhiều hơn các bệnh như: áp-xe gan, áp-xe cơ hoành…).Để chẩn đoán xác định tràn dịch màng phổi, ngoài khám lâm sàng (lồng ngực biến dạng, gõ đục, tiếng cọ màng phổi,...) thì cần chụp X-quang phổi (hình mờ đậm, đồng đều, dịch thường ở dưới thấp, có khi mờ ở cả hai bên phổi, tim bị đẩy sang bên đối diện) hoặc chụp cắt lớp vi tính (CT) hoặc chụp cộng hưởng từ (MRI), siêu âm màng phổi. Nếu có điều kiện chọc dò màng phổi để quan sát màu sắc, tính chất của dịch, xét nghiệm dịch màng phổi bằng các phương pháp khác nhau để tìm nguyên nhân gây bệnh.
Để xác định được nguyên nhân, đầu tiên phải phân biệt hai loại tràn dịch khoang màng phổi, đó là tràn dịch do dịch thấm và tràn dịch do dịch tiết. Tràn dịch do dịch thấm xảy ra khi có các rối loạn và bệnh lý toàn thân ảnh hưởng đến việc hình thành và hấp thu dịch màng phổi. Ở Việt Nam và trên thế giới nguyên nhân hàng đầu gây tràn dịch thấm màng phổi là suy tim trái, tắc động mạch phổi và xơ gan…
Tràn dịch màng phổi do dịch tiết xảy ra khi có sự rối loạn tại chỗ ảnh hưởng trực tiếp đến sự tạo thành và hấp thu dịch màng phổi. Những nguyên nhân chủ yếu gây tràn dịch màng phổi tiết là viêm phổi do vi trùng, bệnh ung thư phổi nguyên phát hay ung thư phổi di căn từ nơi khác đến, nhiễm siêu vi và tắc động mạch phổi. Việc chẩn đoán chính xác nguyên nhân rất quan trọng trong việc điều trị và tiên lượng cho người bệnh.Phương pháp điều trị bệnh chủ yếu là chọc hút, dẫn lưu khoang màng phổi và điều trị nguyên nhân như: nhiễm trùng, suy tim, hay ung thư xơ gan… Nếu bệnh nhân bị tràn dịch nhiều thì phải gây đau ngực nhiều và khó thở phải tiến hành chọc hút khoang màng phổi với ống chích lớn và kim lớn, số lượng dịch hút ra có khi đến gần 1.000ml. Những trường hợp nặng hơn, bệnh nhân sẽ được mổ dẫn lưu kín khoang màng phổi cho dịch, mủ hoặc máu thoát ra ngoài.
Việc sử dụng kháng sinh, thuốc kháng ung thư và các biện pháp điều trị nội khoa hỗ trợ là rất cần thiết nhằm điều trị tận gốc bệnh, tránh bị tái phát… Nói chung là muốn có kết quả điều trị tốt, bệnh nhân phải được phát hiện bệnh sớm và đến bệnh viện sớm, tuân thủ theo điều trị của thầy thuốc và các quy định của cơ sở y tế trong chẩn đoán và điều trị.
Không chỉ hỗ trợ các bác sĩ đọc phim nhanh, chính xác hơn, AI đang tham gia sâu hơn, hỗ trợ đắc lực cho các bác sĩ trong quá trình tiên lượng bệnh, ra kế hoạch điều trị...
Xạ trị proton là kỹ thuật chiếu ngoài hiện đại với độ chính xác cao và ít gây tổn thương mô lành đang mở ra hướng điều trị mới cho bệnh nhân ung thư. Dù chi phí đầu tư lớn, Việt Nam vẫn thúc đẩy xây dựng các trung tâm xạ trị proton để đáp ứng nhu cầu điều trị tăng cao…
Xây dựng câu chuyện thương hiệu gắn với văn hóa bản địa sẽ tạo sự khác biệt cho dược liệu nội địa so với hàng nhập khẩu. Đồng thời cần tăng cường liên kết nông dân - hợp tác xã - doanh nghiệp - nhà khoa học để phát triển bền vững...
Thuế đối ứng của Mỹ có ảnh hướng thế nào đến chứng khoán?
Chính sách thuế quan mới của Mỹ, đặc biệt với mức thuế đối ứng 20% áp dụng từ ngày 7/8/2025 (giảm từ 46% sau đàm phán), có tác động đáng kể đến kinh tế Việt Nam do sự phụ thuộc lớn vào xuất khẩu sang Mỹ (chiếm ~30% kim ngạch xuất khẩu). Dưới đây là phân tích ngắn gọn về các ảnh hưởng chính: