
Giá vàng trong nước và thế giới
VnEconomy cập nhật giá vàng trong nước & thế giới hôm nay: SJC, 9999, giá vàng USD/oz, biến động giá vàng tăng, giảm - phân tích, dự báo & dữ liệu lịch sử.
Thứ Năm, 05/02/2026
Hoài Phương
06/01/2026, 12:07
Nấm xâm nhập vào cơ thể khi người bệnh hít phải bào tử nấm từ không khí, từ đó gây nhiễm trùng phổi, não hoặc xoang. Nấm cũng có thể xâm nhập qua da ở những vết cắt, vết xước, vết cào, vết bỏng và một số tổn thương da khác…
Một bệnh nhân nam 55 tuổi, ở Phú Thọ, mới đây đã nhập viện trong tình trạng đau xoang hàm, cứng hàm nhẹ, từng được chẩn đoán theo dõi uốn ván. Tuy nhiên, nhờ phát hiện kịp thời các dấu hiệu “không điển hình”, bác sĩ đã xác định đây là ca nhiễm nấm đen xâm lấn - bệnh lý hiếm gặp nhưng có nguy cơ tử vong rất cao nếu chậm trễ điều trị.
Theo thông tin từ Bệnh viện Bệnh Nhiệt đới Trung ương, bệnh nhân được chuyển đến khoa Cấp cứu với biểu hiện đau vùng xoang hàm kèm hạn chế há miệng. Trước đó, người bệnh hoàn toàn khỏe mạnh, không mắc các bệnh nền thường gặp như đái tháo đường hay suy giảm miễn dịch. Tại cơ sở y tế tuyến trước, bệnh nhân được chẩn đoán theo dõi uốn ván và điều trị theo hướng này, tuy nhiên triệu chứng không điển hình và đáp ứng điều trị chậm.
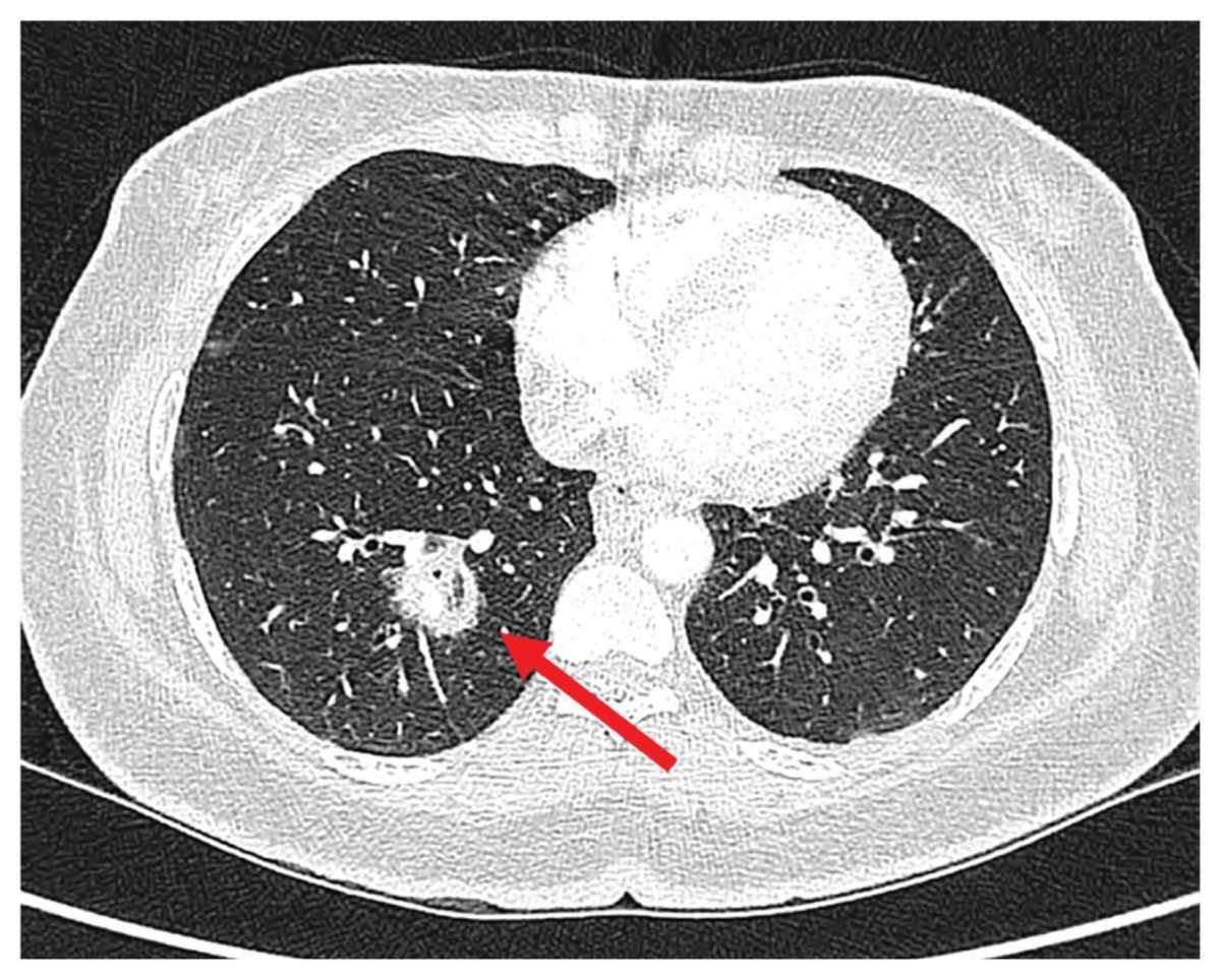
Bác sĩ Nguyễn Kim Anh, Bệnh viện Bệnh Nhiệt đới Trung ương cho biết từ những dấu hiệu "không khớp" này, ê-kíp đã chủ động mở rộng chẩn đoán, chỉ định chụp CT xoang để loại trừ các bệnh lý vùng mũi xoang. Kết quả hình ảnh cho thấy tổn thương xoang hàm có đặc điểm gợi ý nhiễm nấm xâm lấn kèm theo dấu hiệu ăn mòn cấu trúc xương xoang.
Dựa trên lâm sàng và hình ảnh học, bệnh nhân được chẩn đoán nhiễm nấm đen xâm lấn xoang hàm (Mucormycosis) - một bệnh lý hiếm gặp nhưng cực kỳ nguy hiểm, có khả năng tiến triển rất nhanh và đe dọa trực tiếp đến tính mạng. Ca bệnh lập tức được hội chẩn liên chuyên khoa và chỉ định phẫu thuật cấp cứu tối khẩn nhằm ngăn nấm lan vào ổ mắt và não.
Trong ca mổ, các bác sĩ ghi nhận nhiều ổ nấm đen lan rộng trong xoang hàm, song tổn thương xương chưa nghiêm trọng. Toàn bộ tổ chức nấm và niêm mạc tổn thương được lấy bỏ, đồng thời mở thông xoang để dẫn lưu và hỗ trợ điều trị sau mổ. Sau phẫu thuật, bệnh nhân tiếp tục điều trị kháng nấm đặc hiệu đường tĩnh mạch theo phác đồ kéo dài, hiện đáp ứng bước đầu tốt nhưng vẫn cần theo dõi chặt do nguy cơ tái xâm lấn.
Bác sĩ Kim Anh nhấn mạnh, với nhiễm nấm đen xâm lấn, sử dụng thuốc kháng nấm và phẫu thuật sớm đóng vai trò quyết định, không chỉ nhằm lấy bỏ tổ chức nhiễm nấm mà quan trọng hơn là chặn đứng đường lan của nấm. Các bác sĩ cảnh báo, nấm đen thường gặp ở người có bệnh nền nhưng cũng có thể xảy ra ở người khỏe mạnh. Khi có các triệu chứng như đau xoang kéo dài, cứng hàm, sưng đau vùng mặt không rõ nguyên nhân, người bệnh cần đi khám sớm để tránh bỏ lỡ “thời điểm vàng” điều trị.
Theo Trung tâm Bệnh nhiệt đới - Bệnh viện Bạch Mai (Hà Nội), sau đại dịch Covid-19, các bác sĩ bắt đầu phát hiện và điều trị các bệnh nhân bị nhiễm nấm đen với bệnh cảnh phức tạp. Các ca bệnh tăng liên tục. Năm 2022 có 20 ca, năm 2023 có 30 ca, và 9 tháng năm 2024 đã tiếp nhận gần 40 ca...
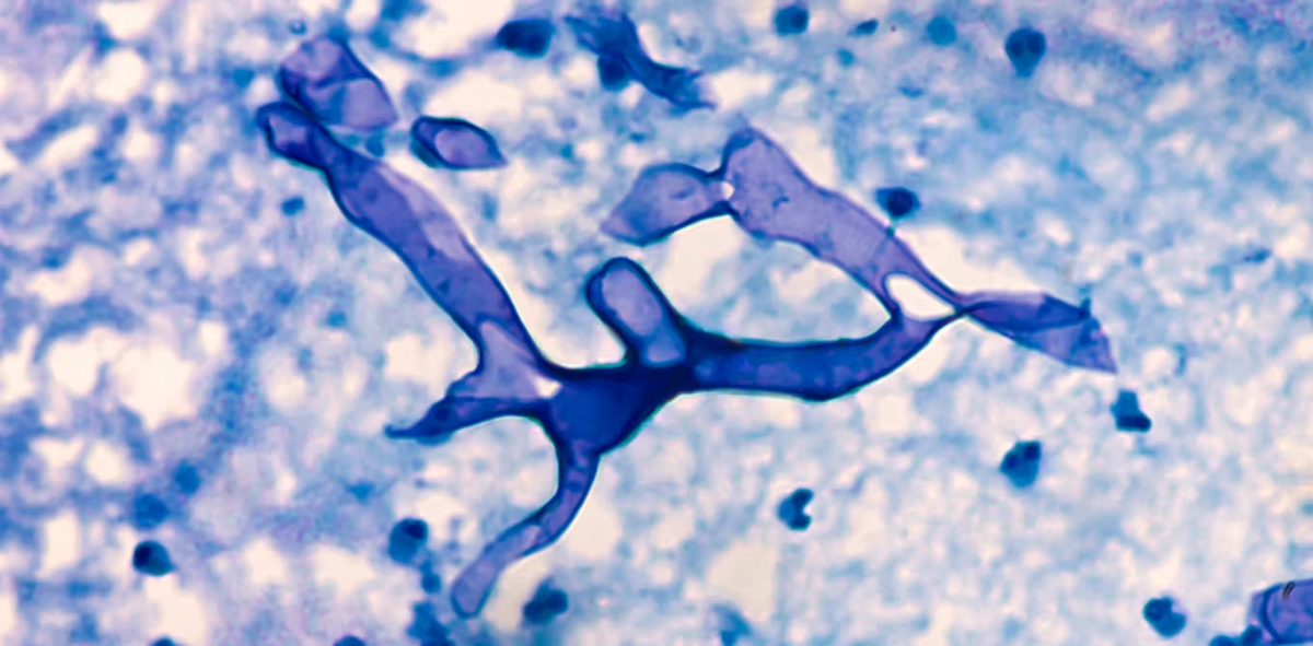
PGS.TS Đỗ Duy Cường, Giám đốc Trung tâm Bệnh nhiệt đới – Bệnh viện Bạch Mai, cho biết bệnh nhiễm nấm đen (black fungus), hay còn gọi là mucormycosis, là một nhiễm trùng nặng do nấm xâm nhập vào các mô sâu trong cơ thể, phá hủy xoang, gây áp xe não, áp xe phổi… Nấm đen có thể thâm nhập vào phổi, vào các xoang hàm mặt và lây lan lên mắt, não, hoặc thâm nhập vào niêm mạc đường tiêu hóa.
Nghiêm trọng hơn, nấm đen còn thâm nhập vào đường máu, ảnh hưởng não, tim, lách. Các cơ quan trong cơ thể bị nấm đen thâm nhập có thể bị phá hủy nhanh chóng. PGS. Cường lưu ý, các bào tử nấm đen có sẵn trong không khí, trên các bề mặt, đặc biệt tại những nơi ẩm ướt, trang trại có phân gia súc, gỗ, cây lá, hoa quả thối rữa, ẩm mục.
Nấm đen không lây truyền từ người sang người, nhưng người có thể bị nhiễm nấm đen qua 2 đường lây: qua đường thở (khi hít phải các bào tử nấm đen) và qua đường tiếp xúc vết thương hở (vết đứt tay, xước sâu, vết cào và vết thương khác).
Qua thực tế các ca bệnh, PGS. Cường cho hay, những trường hợp nguy cơ cao dễ mắc bệnh nấm đen là những người bệnh có hệ miễn dịch yếu, như người bệnh đái tháo đường thể 2. Nguyên nhân là nấm đen ưa môi trường đường, phát triển mạnh từ đường, nên những ai có đường huyết cao, nấm dễ sinh sôi phát triển.
Ngoài ra, dễ bị nhiễm nấm đen là người bệnh nhiễm HIV hoặc đã từng nhiễm Covid-19 có biến chứng; người bệnh ung thư, ghép tạng, ghép tế bào gốc; người bệnh bị chấn thương, phẫu thuật, bỏng; trẻ sinh non, suy dinh dưỡng, nhẹ cân…
Tại Bệnh viện Bạch Mai, nhiều bệnh nhân nhập viện khi nấm đen đã gây tổn thương não, phổi, mắt, xoang mặt, đường tiêu hóa... Có trường hợp nhập viện khi một bên mắt, phần xoang mặt và một phần não bị hoại tử, quá trình nằm viện dài ngày, nguy cơ tái phát dai dẳng.
Với những người thuộc nhóm nguy cơ cao bị nhiễm nấm đen, cần chú ý các triệu chứng sau: đau đầu, đau các xoang hàm mặt, sưng một bên mặt, đau sưng nề một bên mắt, mất khứu giác, sốt, ho và khó thở, đau bụng, buồn nôn, xuất huyết dạ dày…; kèm theo những tổn thương màu đen đặc trưng trên da.
Theo ước tính toàn cầu, nhiễm nấm xâm lấn gây ra số ca tử vong mỗi năm cao hơn bệnh sốt rét và gần tương đương với bệnh lao. Hơn 90% các trường hợp tử vong này liên quan đến năm loại nấm chủ yếu: Candida, Aspergillus, Cryptococcus, Pneumocystis và Mucorales. Việt Nam nằm trong vùng khí hậu nhiệt đới, nóng ẩm là điều kiện thuận lợi cho nấm phát triển.
Bên cạnh đó, biến đổi khí hậu toàn cầu khiến nhiều chủng nấm thích nghi tốt hơn với nhiệt độ cơ thể người, dẫn đến nguy cơ lan rộng và gây bệnh cao hơn. Hệ miễn dịch khỏe mạnh và nhiệt độ cơ thể 36-37°C vốn là hàng rào bảo vệ tự nhiên, nhưng một số loài nấm hiện đã tiến hóa để vượt qua điều này.
Sự gia tăng bệnh nhân mắc các bệnh mạn tính, lạm dụng kháng sinh, điều trị ung thư, ghép tạng… cũng làm mở rộng nhóm có nguy cơ nhiễm nấm xâm lấn. Ngoài ra, các công trình xây dựng, môi trường ô nhiễm, và thói quen sinh hoạt chưa hợp vệ sinh cũng tạo điều kiện cho bào tử nấm phát tán và xâm nhập vào cơ thể qua đường hô hấp, tiêu hóa hoặc vết thương hở.
Nhiễm nấm xâm lấn là bệnh lý mới nổi, do đó dễ bị bỏ sót hoặc nhầm lẫn với nhiễm trùng do các vi khuẩn khác. Điều này đòi hỏi bác sĩ khám ban đầu phải có nhiều kinh nghiệm trong nhận biết tổn thương, chẩn đoán và điều trị.
Cuối năm và dịp Tết Nguyên đán là thời gian sum họp, liên hoan kéo dài với chế độ ăn uống nhiều chất béo, rượu bia và sinh hoạt thất thường. Đây cũng là giai đoạn các bệnh lý rối loạn chuyển hóa, đặc biệt là tăng mỡ máu và viêm tụy cấp, có xu hướng gia tăng…
Oxy cao áp từ lâu đã được xem là liệu pháp thở oxy hỗ trợ điều trị hiệu quả đối với nhiều nhóm bệnh cấp tính, mạn tính, bệnh ngoại khoa, đa chấn thương... Khi được đưa vào danh mục thanh toán bảo hiểm y tế, số bệnh nhân được tiếp cận liệu pháp này ngày càng tăng…
Vừa qua, Bệnh viện Chợ Rẫy đã tổ chức lễ khánh thành Hệ thống thông tim can thiệp hiện đại hàng đầu khu vực phía Nam, đánh dấu bước phát triển quan trọng trong việc nâng cao năng lực chẩn đoán và điều trị các bệnh lý tim mạch phức tạp…
Virus Nipah - mầm bệnh nguy hiểm với tỷ lệ tử vong lên tới 75% - vừa xuất hiện trở lại tại Ấn Độ sau gần hai thập kỷ, dù mới chỉ ghi nhận hai ca nhiễm. WHO và ECDC khẳng định nguy cơ lan rộng hiện ở mức thấp, song nhiều quốc gia đã lập tức siết chặt kiểm soát y tế…
Một nghiên cứu mới đăng trên The Lancet Planetary Health cảnh báo phát thải trong toàn bộ vòng đời của nhựa - từ khai thác nhiên liệu hóa thạch đến sản xuất, tái chế và xử lý chất thải có thể khiến tổn hại đối với sức khỏe con người tăng hơn gấp đôi vào năm 2040, nếu xu hướng hiện nay không thay đổi...
Chứng khoán
Thuế đối ứng của Mỹ có ảnh hướng thế nào đến chứng khoán?
Chính sách thuế quan mới của Mỹ, đặc biệt với mức thuế đối ứng 20% áp dụng từ ngày 7/8/2025 (giảm từ 46% sau đàm phán), có tác động đáng kể đến kinh tế Việt Nam do sự phụ thuộc lớn vào xuất khẩu sang Mỹ (chiếm ~30% kim ngạch xuất khẩu). Dưới đây là phân tích ngắn gọn về các ảnh hưởng chính: