
Giá vàng trong nước và thế giới
VnEconomy cập nhật giá vàng trong nước & thế giới hôm nay: SJC, 9999, giá vàng USD/oz, biến động giá vàng tăng, giảm - phân tích, dự báo & dữ liệu lịch sử.
Thứ Ba, 27/01/2026
Hoài Phương
16/09/2019, 09:26
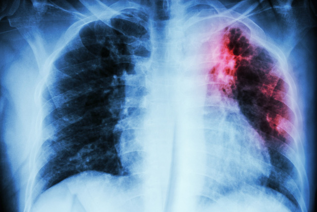
Từ đầu năm đến nay, Trung tâm Bệnh Nhiệt đới - Bệnh viện Bạch Mai đã ghi nhận tới 20 ca. Riêng tháng 8.2019, Trung tâm đã tiếp nhận 12 ca mắc whitmore, trong đó có 4 ca đã tử vong.
Theo PGS.TS Đỗ Duy Cường, Giám đốc Trung tâm Bệnh nhiệt đới, Bệnh viện Bạch Mai, nếu như trước đây, trong khoảng 5 - 10 năm mới có 20 ca mắc whitmore, thì từ đầu năm 2019 đến nay, tại Trung tâm Bệnh nhiệt đới, Bệnh viện Bạch Mai đã ghi nhận tới 20 ca mắc căn bệnh nguy hiểm này. Trong đó riêng tháng 8 đã ghi nhận 12 ca whitmore nặng được chuyển đến chủ yếu từ các tỉnh phía Bắc và Bắc Trung bộ. Bệnh cảnh lâm sàng đa dạng phức tạp, bệnh nhân được nhập viện từ chuyên khoa khác nhau như hô hấp, cơ - xương - khớp, nội tiết, da liễu, ngoại khoa...Thực tế, whitmore không phải là một chủng bệnh mới. Ca nhiễm bệnh đầu tiên ở Việt Nam đã được phát hiện tại TP HCM vào năm 1925. Sau đó, bệnh cũng được ghi nhận ở Hà Nội và Huế vào năm 1928 và 1936. Bằng chứng đầu tiên trên thế giới về sự tồn tại của vi khuẩn gây bệnh Whitmore (Burkholderia pseudomallei) sống ngoài môi trường đất được các nhà khoa học Pháp công bố năm 1937 tại tỉnh Hải Dương và năm 1955 tại các tỉnh Nam Bộ.
Whitmore là một bệnh truyền nhiễm nguy hiểm, có tỷ lệ tử vong cao và tử vong nhanh nếu bệnh nhân không được chẩn đoán sớm, chẩn đoán đúng và điều trị kháng sinh theo đúng phác đồ khuyến cáo. Đây được cho là bệnh phổ biến ở các nước Đông Nam Á và vùng Bắc Úc. Đặc biệt, Thái Lan, Lào và Campuchia cũng đã công bố nhiều ca bệnh trên các tạp chí y khoa quốc tế.Các yếu tố rủi ro làm tăng nguy cơ mắc bệnh whitmore bao gồm việc đi du lịch đến hoặc sinh sống tại các khu vực dễ phát tán bệnh. Người khỏe mạnh có thể mắc bệnh, tuy nhiên những người vốn mắc những bệnh làm yếu hệ miễn dịch lại càng có nguy cơ mắc bệnh Whitmore cao hơn như bệnh HIV/AIDS, ung thư, bệnh phổi mãn tính, (bao gồm COPD), bệnh gan, bệnh tan máu bẩm sinh, bệnh tiểu đường và bệnh thận mãn tính.Vi khuẩn Whitmore sống ở trong đất và lây nhiễm sang người qua con đường tiếp xúc trực tiếp các vết trầy xước da với đất nhiễm khuẩn. Khi đi vào cơ thể, vi khuẩn có thể tấn công các bộ phận của cơ thể (không loại trừ một bộ phận, một cơ quan cơ thể nào). Dạng phổ biến nhất là tấn công phổi. Bệnh khởi phát sau 1 ngày đến 3 tuần kể từ khi nhiễm bệnh và biểu hiện cấp tính, nhưng 10% ca bệnh có biểu hiện bệnh whitmore mạn tính (trong đó bệnh nhân bị ốm suốt kéo dài trên 2 tháng). Vết loét hoặc áp-xe da, viêm hạch bạch huyết, viêm tuyến mang tai có thể là biểu hiện chính trong một số trường hợp.
Bên cạnh đó, vi khuẩn có thể tấn công gây áp xe cơ quan nội tạng như gan, thận, tim hoặc áp xe ngoài da, áp xe cơ, viêm xương khớp, viêm tuyến lệ, viêm tuyến nước bọt mang tai, viêm tai giữa, viêm màng não, sưng hạch cổ, viêm tuyến sinh dục tiết niệu, viêm tuyến tiền liệt, viêm tinh hoàn...Mặc dù đã từng có ca lây bệnh whitmore từ người sang người, nhưng thực tế là rất hiếm. Vi khuẩn xâm nhập vào cơ thể người chủ yếu qua tiếp xúc với đất nhiễm khuẩn. Các bác sĩ khuyến cáo, vi khuẩn whitmore không chỉ nguy hiểm cho những người mắc bệnh mạn tính mà nó còn là loại vi khuẩn kháng với rất nhiều loại kháng sinh thường dùng. Đây lại là căn bệnh nguy hiểm rất dễ tái phát; khi tái phát, việc điều trị rất khó khăn, phức tạp; lại chưa có vaccine phòng bệnh.
Cho nên, biện pháp dự phòng cơ bản nhất vẫn là che chắn tốt đường hô hấp trong môi trường khói bụi; tăng cường biện pháp phòng hộ trong lao động sinh hoạt tránh để da bàn chân, bàn tay, các bộ phận trong cơ thể tiếp xúc với đất bẩn. Bên cạnh đó, do sự hiểu biết về bệnh còn ít, hầu hết các bệnh nhân bị whitmore cho biết, họ không biết gì về căn bệnh này. Do đó, người dân khi có triệu chứng giống cảm cúm, mệt, sốt, đau ngực, cơ, khớp, nên nhanh chóng đến bệnh viện có uy tín để được khám bệnh và điều trị kịp thời.
Dù chưa cấp phép cho lô sữa Aptamil nhiễm độc bị thu hồi tại Anh, Cục An toàn thực phẩm trong công văn gửi Cục Thương mại điện tử và Kinh tế số (Bộ Công Thương) đã yêu cầu các đơn vị rà soát và khuyến cáo người dân tránh sử dụng...
Theo Tổ chức Y tế Thế giới (WHO), virus Nipah được xếp vào nhóm mầm bệnh ưu tiên do tiềm năng gây dịch lớn. Hiện nay chưa có vaccine hay thuốc điều trị đặc hiệu đối với virus này…
Mụn hiện là bệnh da liễu phổ biến thứ tám trên thế giới. Thống kê cho thấy mụn trứng cá ảnh hưởng đến khoảng 85% những người trong độ tuổi từ 12 đến 24. Các phương pháp điều trị mụn trứng cá theo đơn có thể tốn tới 200 USD/tháng…
Sự chuyển dịch mô hình bệnh tật bắt nguồn sâu xa từ lối sống công nghiệp. Thói quen thức khuya, stress kéo dài, chế độ ăn dư thừa năng lượng nhưng nghèo nàn dinh dưỡng đã âm thầm bào mòn sức khỏe của nhiều người trẻ, tưởng như khỏe mạnh…
Theo thống kê, năm 2025, TP.HCM có hơn 50,4 triệu lượt khám chữa bệnh. Tuy nhiên, trạm y tế phường, xã, đặc khu chỉ ghi nhận gần 2,5 triệu lượt, chiếm gần 5%. Những địa chỉ được xem là "cửa ngõ" của hệ thống y tế này do đó cần nỗ lực hơn nữa để phát huy được hiệu quả…
Tài chính
Thuế đối ứng của Mỹ có ảnh hướng thế nào đến chứng khoán?
Chính sách thuế quan mới của Mỹ, đặc biệt với mức thuế đối ứng 20% áp dụng từ ngày 7/8/2025 (giảm từ 46% sau đàm phán), có tác động đáng kể đến kinh tế Việt Nam do sự phụ thuộc lớn vào xuất khẩu sang Mỹ (chiếm ~30% kim ngạch xuất khẩu). Dưới đây là phân tích ngắn gọn về các ảnh hưởng chính: