
Giá vàng trong nước và thế giới
VnEconomy cập nhật giá vàng trong nước & thế giới hôm nay: SJC, 9999, giá vàng USD/oz, biến động giá vàng tăng, giảm - phân tích, dự báo & dữ liệu lịch sử.
Thứ Hai, 02/02/2026
Hoài Phương
12/06/2025, 16:48
Bệnh gan nhiễm mỡ liên quan đến rối loạn chuyển hóa đang dần trở thành mối đe dọa sức khỏe cộng đồng tại Việt Nam. Các chuyên gia cảnh báo rằng bệnh này có thể sớm thay thế viêm gan virus để trở thành nguyên nhân chính gây xơ gan và ung thư gan...
Theo thống kê của Bộ Y tế, có khoảng 20 - 30 triệu người Việt Nam (tương đương 20 - 30% dân số) mắc bệnh gan nhiễm mỡ. Trong đó, 30 - 35% bệnh nhân gan nhiễm mỡ có nguy cơ tiến triển thành xơ gan. Số liệu của Hội gan mật Việt Nam cũng cho thấy khoảng 50 - 60% dân số Việt Nam trưởng thành bị bệnh gan nhiễm mỡ.
Ở giai đoạn đầu, gan nhiễm mỡ thường tiến triển âm thầm, không biểu hiện triệu chứng rõ ràng. Một số người có thể cảm thấy mệt mỏi, ăn uống kém hoặc đau âm ỉ vùng bụng trên bên phải. Khi bệnh nặng dần, các dấu hiệu rõ rệt hơn bắt đầu xuất hiện như sụt cân không rõ nguyên nhân, yếu ớt, buồn nôn, vàng da, ngứa ngáy, nước tiểu sẫm màu...
Khi lượng mỡ dư thừa tích tụ trong gan, cơ quan này mất dần khả năng làm nhiệm vụ “hàng rào” bảo vệ, không còn xử lý hiệu quả các độc tố từ ruột được vận chuyển tới qua tĩnh mạch. Các độc tố không được trung hòa sẽ âm thầm gây ra tình trạng viêm kéo dài trong mô gan.
Theo thời gian, phản ứng viêm này khiến các tế bào gan bị tổn thương và dần được thay thế bằng mô sẹo, còn gọi là xơ gan. Đây là giai đoạn báo động, bởi xơ gan chính là yếu tố nguy cơ hàng đầu dẫn đến ung thư biểu mô tế bào gan.
Theo ThS.BS Lưu Thị Minh Diệp, Trung tâm Tiêu hóa Gan mật, Bệnh viện Bạch Mai, gan nhiễm mỡ là căn bệnh tiềm ẩn nguy cơ nghiêm trọng, có thể dẫn đến ung thư gan ngay từ giai đoạn sớm mà không nhất thiết trải qua giai đoạn xơ gan. Bên cạnh đó, bệnh còn làm tăng nguy cơ mắc ung thư đại tràng gấp 20 lần và có tác động đến các bệnh lý ngoài gan như bệnh tim mạch, bệnh thận mạn, hội chứng ngưng thở khi ngủ…
Tùy theo nguyên nhân, gan nhiễm mỡ được chia thành hai nhóm chính. Nhóm thứ nhất là do uống rượu quá mức, gọi là gan nhiễm mỡ do rượu (AFLD). Nhóm còn lại không liên quan đến rượu, được gọi là gan nhiễm mỡ không do rượu (NAFLD). Trong thời gian gần đây, giới chuyên môn cũng bắt đầu quan tâm nhiều hơn đến dạng gan nhiễm mỡ liên quan đến rối loạn chuyển hóa (MAFLD).
Đây là một thuật ngữ mới được dùng để chỉ NAFLD, với ý nhấn mạnh rằng nguyên nhân chính của bệnh là rối loạn chuyển hóa, được xác định dựa trên mối liên hệ trực tiếp với các vấn đề chuyển hóa phổ biến như béo phì, đái tháo đường type 2, rối loạn mỡ máu và hội chứng chuyển hóa. Cách tiếp cận mới này giúp y học tập trung hơn vào các yếu tố nguy cơ thực sự của bệnh.
Thông tin tại Hội nghị khoa học “Xu hướng mới trong điều trị bệnh Tiêu hóa – Gan mật năm 2025” (GastroHep UMC 2025), PGS.TS.BS. Võ Duy Thông, Trưởng khoa Tiêu hóa, Bệnh viện Đại học Y Dược TP.HCM, cho rằng việc chủ động phát hiện gan nhiễm mỡ ở những người có yếu tố rối loạn chuyển hóa là vô cùng quan trọng.
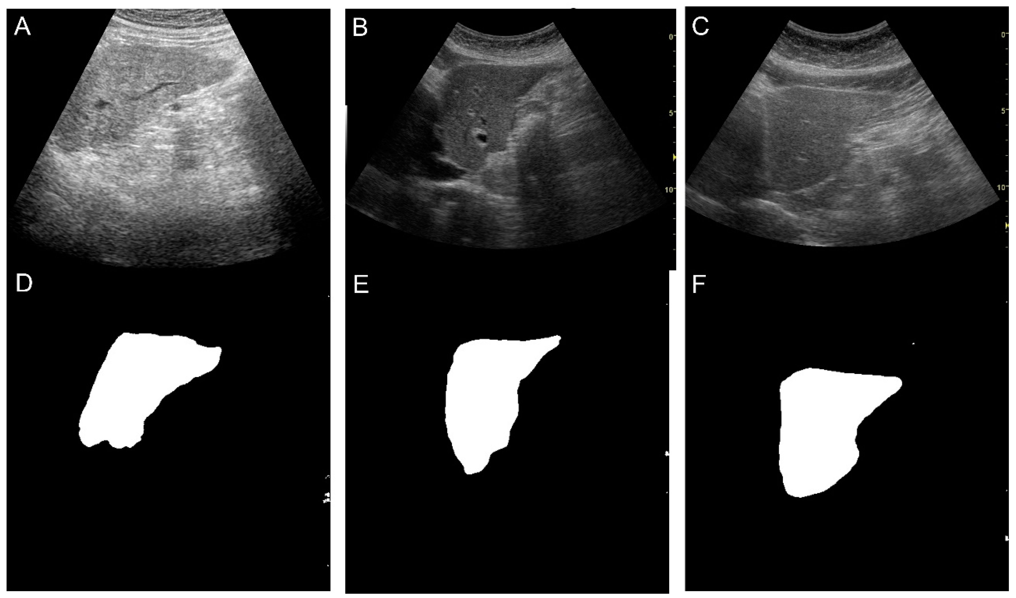
Đặc biệt ở Việt Nam, nơi nhiều người bệnh có thể đồng mắc thêm viêm gan B, do rượu hoặc các bệnh tim mạch, việc tiếp cận đa nguyên nhân và phân tầng nguy cơ sẽ giúp quản lý bệnh hiệu quả hơn. Bác sĩ cho biết, ngoài các phương pháp chẩn đoán quen thuộc như siêu âm, các công cụ tiên tiến hơn đang được nghiên cứu ứng dụng để đánh giá chính xác mức độ xơ hóa gan, từ đó đưa ra quyết định can thiệp kịp thời.
Hiện nay, chưa có thuốc điều trị đặc hiệu cho gan nhiễm mỡ. Tuy nhiên, việc thay đổi lối sống đã được chứng minh là phương pháp hiệu quả giúp cải thiện tình trạng và ngăn chặn tiến triển bệnh. Đối với người mắc NAFLD, giảm cân là biện pháp quan trọng nhất. Trong khi đó, với người bệnh AFLD, việc ngừng sử dụng rượu là điều bắt buộc.
Bên cạnh việc giảm cân dưới 10% trọng lượng cơ thể vẫn là nền tảng, một tin vui là Resmetirom đã trở thành thuốc đầu tiên được Cơ quan Quản lý Thực phẩm và Dược phẩm Hoa Kỳ (FDA) phê duyệt đặc hiệu cho viêm gan nhiễm mỡ có xơ hóa. Nhiều nhóm thuốc khác như GLP-1 receptor agonists, FXR agonists và PPAR modulators cũng đang cho thấy nhiều triển vọng trong các nghiên cứu lâm sàng.
Những đột phá này hứa hẹn kiểm soát bệnh tốt hơn, đặc biệt với những trường hợp có nguy cơ cao. Tuy nhiên, tại Việt Nam, MAFLD vẫn chưa được nhìn nhận đúng mức. Thiếu chương trình tầm soát chủ động, nhận thức cộng đồng còn hạn chế và sự chồng lấp các biểu hiện bệnh gây khó khăn trong phát hiện và theo dõi người bệnh.
Để khắc phục điều này, việc tích hợp MAFLD vào các chương trình quốc gia về bệnh không lây nhiễm, mở rộng sử dụng công cụ chẩn đoán không xâm lấn và triển khai mô hình điều trị dựa trên nguy cơ là những bước đi chiến lược.
Khoa Tiêu hóa Bệnh viện Đại học Y Dược TP.HCM đang tiên phong triển khai mô hình quản lý MAFLD theo hướng liên chuyên khoa, phối hợp giữa nhiều lĩnh vực như tiêu hóa, nội tiết, tim mạch, dinh dưỡng và y học gia đình. Mục tiêu là xây dựng quy trình chẩn đoán, sàng lọc và theo dõi toàn diện, cá thể hóa, phù hợp với thực tế Việt Nam.
Trước đó, tại Hội thảo khoa học "Nâng tầm chẩn đoán bệnh lý gan: Tối ưu hóa hiệu quả và độ chính xác nhờ công nghệ và AI trong siêu âm", các chuyên gia nhận định nhờ sự phát triển của công nghệ, siêu âm định lượng độ cứng và độ nhiễm mỡ gan đã trở thành một công cụ đột phá.
Phương pháp này cho phép định lượng chính xác mức độ xơ hóa và nhiễm mỡ gan mà không cần bất kỳ can thiệp xâm lấn nào. Đặc biệt, khi kết hợp với Trí tuệ nhân tạo (AI), dữ liệu được phân tích nhanh chóng, mang lại kết quả đồng nhất và có độ lặp lại cao, từ đó hỗ trợ các bác sĩ đưa ra quyết định lâm sàng tối ưu một cách hiệu quả và tin cậy hơn.
Hệ thống chẩn đoán hình ảnh tại Bệnh viện E đã và đang được trang bị nhiều thiết bị tiên tiến có tích hợp AI như máy cộng hưởng từ, máy Spectral CT 7500, máy chụp X-quang vú 3D kèm chức năng sinh thiết, máy siêu âm trong lòng mạch… Đây là nền tảng quan trọng giúp đội ngũ y tế tiếp cận với các công nghệ chẩn đoán hiện đại, tối ưu hóa quy trình chuyên môn và mang lại giá trị thiết thực trong chăm sóc sức khỏe cộng đồng.
Bên cạnh đó, những trường hợp thực tiễn tại bệnh viện cho thấy góc nhìn sâu sắc hơn không chỉ về cách ứng dụng AI và siêu âm hiện đại trong chẩn đoán, mà còn là tầm quan trọng của việc can thiệp sớm và theo dõi định kỳ trong điều trị các bệnh lý gan. TS.BS Nguyễn Công Hựu, Giám đốc Bệnh viện E, cho biết với sự hỗ trợ của AI góp phần chẩn đoán và quản lý bệnh lý gan tại Việt Nam ngày một hiệu quả, cải thiện chất lượng cuộc sống cho hàng triệu người bệnh trên khắp cả nước.
Sa Pa đang chuyển mình mạnh mẽ, trở thành điểm đến hội tụ giữa cảnh sắc thiên nhiên hùng vĩ, bản sắc văn hóa vùng cao và hệ thống dịch vụ du lịch ngày càng chuyên nghiệp. Từ mô hình “bảo tàng sống” giới thiệu tinh hoa các dân tộc thiểu số đến sự phát triển của du lịch cộng đồng, lưu trú và trải nghiệm bản địa, Sa Pa ngày càng khẳng định sức hút trên bản đồ du lịch khu vực và quốc tế...
Thông tin từ Bộ Công Thương, Hội chợ Mùa Xuân năm 2026 sẽ được tổ chức từ ngày 2/2 đến hết ngày 13/2 tại Trung tâm Triển lãm Việt Nam (xã Đông Anh, TP. Hà Nội). Hội chợ sẽ mở cửa đón khách tham quan, sắm Tết từ 9 – 21 giờ hàng ngày…
Trên toàn cầu, thiết bị điện tử phục vụ văn hóa đọc đang bước vào giai đoạn tăng tốc. Tại Việt Nam, dù thói quen đọc truyền thống vẫn chiếm ưu thế, sự phát triển nhanh chóng của thị trường cho thấy một cuộc chuyển dịch âm thầm nhưng rõ nét trong tiến trình số hóa ngành xuất bản.
Mời quý độc giả đón đọc Tạp chí Kinh tế Việt Nam số 05-2026 phát hành ngày 02/01/2025 với nhiều chuyên mục hấp dẫn...
Hiện nay, những gam màu ấm như nâu gạch terra cotta hay hồng phấn trầm đang dần thay thế các sắc màu rực rỡ đặc trưng của xu hướng “dopamine decor”- đề cao việc sử dụng những gam màu đậm, bão hòa cao nhằm mang lại cảm giác hứng khởi cho ngôi nhà...
Kinh tế xanh
Thuế đối ứng của Mỹ có ảnh hướng thế nào đến chứng khoán?
Chính sách thuế quan mới của Mỹ, đặc biệt với mức thuế đối ứng 20% áp dụng từ ngày 7/8/2025 (giảm từ 46% sau đàm phán), có tác động đáng kể đến kinh tế Việt Nam do sự phụ thuộc lớn vào xuất khẩu sang Mỹ (chiếm ~30% kim ngạch xuất khẩu). Dưới đây là phân tích ngắn gọn về các ảnh hưởng chính: