
Giá vàng trong nước và thế giới
VnEconomy cập nhật giá vàng trong nước & thế giới hôm nay: SJC, 9999, giá vàng USD/oz, biến động giá vàng tăng, giảm - phân tích, dự báo & dữ liệu lịch sử.
Chủ Nhật, 14/12/2025
Hoài Phương
17/02/2019, 09:41
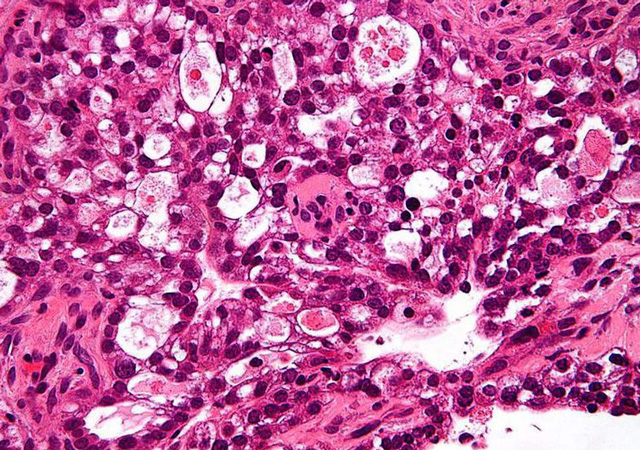
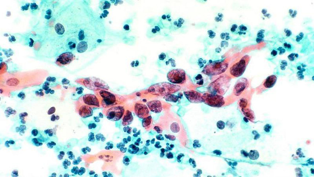
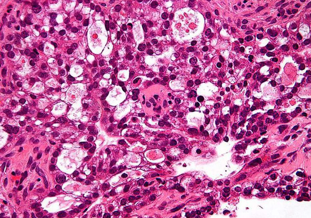
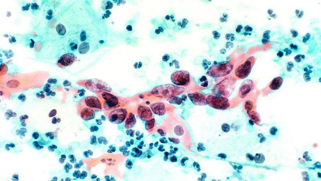
Một thử nghiệm lâm sàng toàn cầu giai đoạn I/II đã chứng minh rằng một loại thuốc mới gọi là tisotumab vedotin (TV) có thể điều trị sáu loại ung thư khác nhau.
TV sử dụng phương pháp ‘"con ngựa thành Troy" để xâm nhập vào khối u và giải phóng một chất độc hại, tiêu diệt các tế bào ung thư từ bên trong. Giống như con ngựa thành Troy có chứa các chiến binh bên trong bụng của nó, thuốc TV có khả năng chữa tới 6 căn bệnh ung thư nguy hiểm. Đó là: ung thư cổ tử cung, bàng quang, buồng trứng, nội mạc tử cung, thực quản và phổi.Thuốc tisotumab vedotin (TV) chứa phân tử monomethyl auristatin E ngăn chặn việc tế bào sinh sản được kỳ vọng đem đến cơ hội mới cho bệnh nhân ung thư. Được tài trợ bởi các công ty công nghệ sinh học Genmab và Seattle Genetic, để đánh giá hiệu quả của loại thuốc này, các nhà nghiên cứu tại Viện Nghiên cứu Ung thư London và Tổ chức Tín nhiệm Royal Marsden NHS (Anh) đã tiến hành thử nghiệm lâm sàng trên 147 bệnh nhân.
Các bệnh nhân ung thư có dấu hiệu kháng thuốc với các loại thuốc tiên tiến đang được sử dụng hiện nay, đã được quan sát quá trình đáp ứng với thuốc TV, sau đó các khối u của họ co lại hoặc ngừng phát triển. Công bố nghiên cứu thực hiện trên tạp chí nổi tiếng Lancet Oncology, GS Johann de Bono của Viện Nghiên cứu Ung thư London, cho rằng việc sử dụng thuốc tisotumab vedotin để điều trị ung thư là một giải pháp độc đáo, vì nó áp dụng một cơ chế hoàn toàn mới, tác dụng như "con ngựa thành Troy" khi thuốc xâm nhập vào tế bào ung thư và tiêu diệt chúng từ bên trong.Thử nghiệm lâm sàng ban đầu cho thấy TV nhiều hứa hẹn. Sau khi dùng thuốc, gần 15% bệnh nhân bị ung thư phổi và buồng trứng có khối u thu nhỏ lại hoặc ngưng phát triển. Những bệnh nhân ung thư khác cũng đáp ứng tích cực, 27% trường hợp ung thư bàng quang, 26,5% ung thư cổ tử cung, 13% ung thư thực quản và 7% ung thư nội mạc. Dữ liệu nghiên cứu tiết lộ rằng các phản ứng kéo dài trung bình 5,7 tháng và lên tới 9,5 tháng ở một số bệnh nhân nhất định. Tuy nhiên, bệnh nhân ung thư tuyến tiền liệt đã không đáp ứng với liệu pháp mới. Ngoài ra, thuốc gây một số tác dụng phụ ở vài bệnh nhân như chảy máu mũi, mệt mỏi, buồn nôn và những vấn đề về mắt.
Trước khi thu được kết quả trên, TV đã trải qua quá trình thử nghiệm lâu dài. Năm 2013, thuốc bước vào giai đoạn thử nghiệm đầu tiên nhằm kiểm tra độ an toàn với sự tham gia của 27 bệnh nhân ung thư. Một năm rưỡi sau đó, nhiều bệnh nhân xuất hiện biến chứng sức khỏe nguy hiểm như triệu chứng mắc tiểu đường type 2 cấp, viêm niêm mạc và sốt. Những tác dụng phụ kể trên giảm hẳn khi thuốc được kê với liều thấp hơn. Song, người bệnh vẫn có thể bị chảy máu cam, buồn nôn, mệt mỏi.
Thử nghiệm giai đoạn I là tiền đề để các nhà khoa học phát triển giai đoạn II, chứng minh rằng TV hiệu quả rõ rệt với bệnh nhân ung thư không đáp ứng các loại thuốc khác. Giai đoạn II được tiến hành để đánh giá sự an toàn của thuốc và xác định đúng liều của nó, cũng như đánh giá xem thuốc có tác dụng đúng mục tiêu và ảnh hưởng đến khối u hay không. "Tác dụng phụ của thuốc TV có thể kiểm soát được", GS. Bono đại diện Viện Nghiên cứu Ung thư London khẳng định. "Chúng tôi nhận được phản ứng rất tốt từ các bệnh nhân tham gia thử nghiệm. Giờ đây, bước tiếp theo cần làm là mở rộng thử nghiệm giai đoạn II với ung thư ruột, ung thư tuyến tụy và ung thư cổ tử cung".
Nếu mọi thứ tiến triển tốt, chúng ta hoàn toàn có thể kỳ vọng vào giai đoạn thử nghiệm thứ III nhằm đánh giá mức độ hiệu quả và an toàn của thuốc so với các phương pháp điều trị tương tự. "Chúng ta rất cần những phương pháp điều trị sáng tạo có thể chiến đấu với ung thư độc đáo như thế này. Điều đáng nói là thuốc có tác dụng ngay cả với những khối u kháng các liệu pháp thông thường," ông Paul Workman, giám đốc điều hành Viện Nghiên cứu Ung thư London khẳng định.
(Theo Drug Development Technology)
Lễ bế mạc Tuần lễ “Điện ảnh Việt Nam – Hành trình Ánh sáng” đã chính thức khép lại hành trình một tuần đầy sôi động của nền điện ảnh Việt Nam trên thị trường quốc tế, quy tụ đông đảo nghệ sĩ, nhà làm phim, đối tác Pháp – châu Âu và hàng nghìn khán giả quốc tế....
Đón mùa lễ hội, LocknLock phối hợp cùng Điện Máy Xanh chính thức khởi động chương trình ưu đãi lớn nhất tháng 12 mang tên "Đại tiệc cuối năm - Rộn ràng deal chất”, mang đến không khí mua sắm tưng bừng cùng loạt sản phẩm chính hãng giá tốt, quà tặng hấp dẫn và deal độc quyền.
Việt quất Australia chính thức được nhập khẩu vào Việt Nam trong khi trước đó bưởi Việt Nam đã đặt chân vào thị trường Australia, đánh dấu bước tiến mới trong dòng chảy thương mại về trao đổi nông sản giữa hai quốc gia...
Người tiêu dùng trẻ Trung Quốc là những người “chi tiêu có chọn lọc”. Họ sẵn sàng mạnh tay chi tiền — nhưng chỉ cho những thứ mang lại giá trị thực sự...
Năm nay, các hệ thống bán lẻ, doanh nghiệp sản xuất đồng loạt “khởi động” thị trường quà Tết sớm. Điều này cho thấy sự chuẩn bị kỹ lưỡng của nhà sản xuất, đồng thời đáp ứng xu hướng mua sắm theo kế hoạch của người tiêu dùng trong bối cảnh kinh tế biến động...
Thuế đối ứng của Mỹ có ảnh hướng thế nào đến chứng khoán?
Chính sách thuế quan mới của Mỹ, đặc biệt với mức thuế đối ứng 20% áp dụng từ ngày 7/8/2025 (giảm từ 46% sau đàm phán), có tác động đáng kể đến kinh tế Việt Nam do sự phụ thuộc lớn vào xuất khẩu sang Mỹ (chiếm ~30% kim ngạch xuất khẩu). Dưới đây là phân tích ngắn gọn về các ảnh hưởng chính: